Benefity uczestnictwa w szkoleniu:
- nauczysz się najmodniejszej estetycznej techniki wykonywanej bezpośrednio przy fotelu
- zero inwestycji- nie potrzebujesz skanera
- bezbolesny zabieg bez konieczności znieczulenia
- komfort pracy bez skomplikowanego leczenia
- przechowywanie danych przez wiele lat umożliwia bezproblemowe naprawy
- ekonomiczna metoda, którą doceni pacjent
- bardzo krótki czas wykonania
- idealny połysk
- łatwość naprawy ewentualnych uszkodzeń
- pełna metamorfoza uśmiechu w krótkim czasie
- celebryci kochają technikę flow injection




Pełny opis szkolenia:
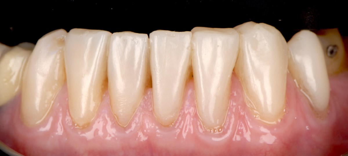
jeżeli nie oferujesz pacjentom techniki flow injection w swoim gabinecie – czas to zmienić
dołącz do najlepiej prosperujących gabinetów
nie musisz umieć modelować zębów – kształt powstaje w komputerze – w przeciwieństwie do trudnego modelowania ręcznego – wizualizacja kilkunastu wariantów kolorów i kształtów
Kurs tłumaczony na język polski
W części teoretycznej:
- Wyjaśnimy i zademonstrujemy technikę flow injection
- Omówimy krok po kroku etapy laboratoryjne i kliniczne
- Omówimy dostępne materiały, alternatywne techniki i dowody medyczne dotyczące kompozytów używanych do technik flow injection
- Porównamy protokoły pracy cyfrowej i analogowej
Co osiągniesz w części praktycznej:
- przećwiczysz technikę flow injection na modelach
- nauczysz się i wykonasz licówkę techniką flow injection na stożkowatym siekaczu bocznym
- nauczysz się i wykonasz techniki flow injection na 6 zębach przednich metodą autorską
- nauczysz się oszczędzać czas i zapewniać efektywne uzupełnienia kompozytowe o wyjątkowo pięknej anatomii
- obejrzysz kilka szczegółowych filmów z etapów laboratoryjnych i klinicznych
Jak zwykle na szkoleniach Dental Conference wszyscy uczestnicy kursu ćwiczą na profesjonalnie przygotowanych, w pełni wyposażonych stanowiskach fantomowych.
Małe grupy uczestników gwarantują doskonały kontakt z wykładowcą.
Wszyscy uczestnicy otrzymują certyfikat i punkty edukacyjne (8 punktów edukacyjnych).
Uczestnicy kursów mogą korzystać z indywidualnych konsultacji swoich przypadków z dr Kostas’em Karagiannopoulos.
Zachęcamy do zabrania ze sobą dokumentacji (zdjęć i modeli).






